Гигиена
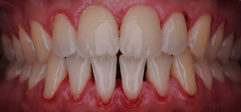
Диагноз:
Гингивит, локальные рецессии десны, хроническое скопление бактериального налёта и зубного камня. Риск перехода в пародонтит при отсутствии лечения.
План лечения:
Проведение профессиональной гигиены по протоколу Guided Biofilm Therapy (GBT), обучение гигиене полости рта, последующее наблюдение.
Этапы лечения:
- Окрашивание налёта с помощью специального красителя:
- Визуализация налёта позволяет показать пациенту проблемные зоны.
- Цветовая индикация помогает отличить свежий налёт от старого:
- Тёмно-фиолетовый — застарелый налёт
- Светло-розовый/голубой — свежий налёт
- Это важно для мотивации и обучения: пациент наглядно видит, где недочищает.
- Удаление налёта и камня:
- Использование Airflow — мягко и эффективно удаляет биоплёнку.
- Затем — ультразвуковое удаление поддесневых отложений.
- Полировка поверхности зубов и фторирование — завершающий этап для защиты эмали и снижения чувствительности.
Результат:
- Сразу после процедуры:
- Камень полностью удалён
- Воспаление значительно уменьшилось
- Десна выглядит более спокойной
- Пациенту даны индивидуальные рекомендации по уходу: использование межзубных ёршиков, зубной нити, регулярность профессиональной гигиены.
Фотогалерея



