Chat with us, powered by LiveChat

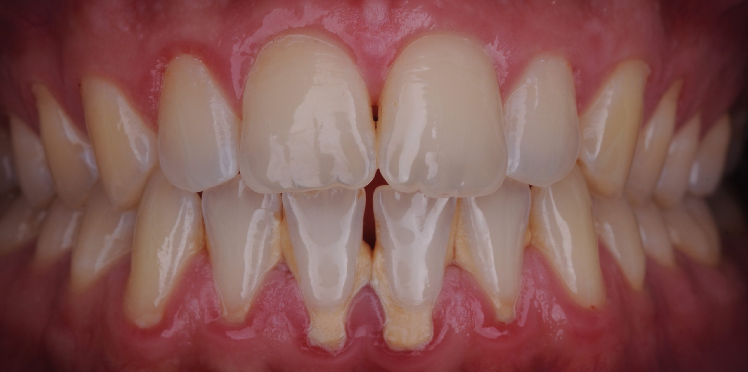
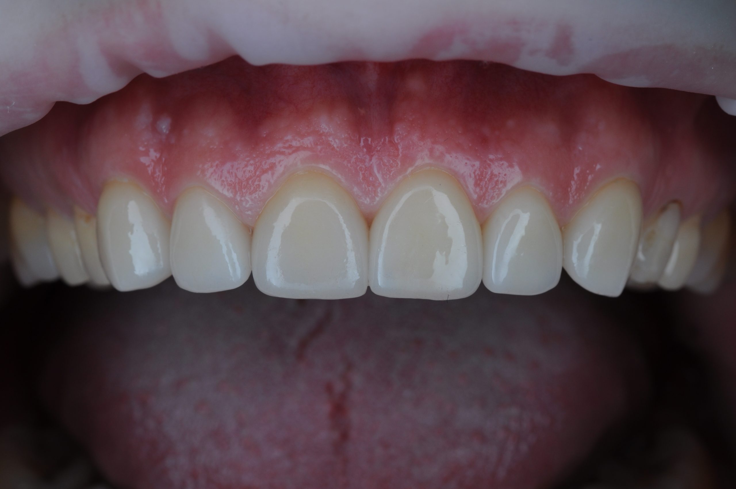
Гигиена полости рта

Случай 1

Во время первого визита к стоматологу наш гигиенист провел визуальный осмотр, отметив значительное количество зубного камня и воспаление десен. Используя усовершенствованный протокол GBT, мы обнаружили зубной налет и зубной камень, которые необходимо удалить. Мы осветлили налет для его полного удаления и тщательно очистили зубы с помощью AirFlow и ультразвука. Мы подобрали индивидуальные средства гигиены. После этого пациенту провели фторирование для реминерализации эмали, а также дали рекомендации по питанию и гигиене полости рта. Последующее наблюдение через три месяца подтвердило значительное улучшение состояния десен, продемонстрировав преимущества ранней диагностики и профилактики.

1. До
2. Во время
3. Во время
4. После

Имплантология

Случай 1

Пациент обратился в нашу клинику для имплантации отсутствующего 14-го зуба, утраченного в результате кариеса. После консультации и рентгенографии мы спланировали и провели установку титанового имплантата. Через три месяца заживления и интеграции на имплантат была установлена ​​керамическая коронка. Результат полностью функционален и эстетически естественен, восстановив полную жевательную функцию пациента и улучшив его внешний вид. Этот случай демонстрирует успешность дентальных имплантатов как постоянного решения для замещения отсутствующих зубов.

1. До
2. Во время
4. После
4. После

Эндодонтия

Случай 1

Пациент обратился с жалобами на сильную зубную боль и повышенную чувствительность в области первого моляра (клыка). Осмотр и рентгенография выявили глубокий кариес, распространяющийся на пульпу, что потребовало эндодонтического лечения (лечения корневых каналов). В ходе процедуры была удалена инфицированная пульпа, очищены, продезинфицированы и запломбированы биосовместимым материалом корневые каналы. Затем на обработанный зуб была установлена ​​коронка для восстановления его функции и внешнего вида. Пациент испытал значительное облегчение боли и сохранил свой естественный зуб, что продемонстрировало эффективность эндодонтического лечения в сохранении сильно поврежденных зубов.

1. До
2. После
Случай 2

Пациент обратился с проблемой ранее леченного зуба. При осмотре был обнаружен сломанный инструмент в корневом канале, что вызывало постоянную боль. Для удаления инфицированной ткани и сломанного инструмента потребовалось повторное эндодонтическое лечение. С помощью специализированной техники и микроскопа сломанный инструмент был безопасно удален, а корневой канал тщательно очищен, продезинфицирован и запломбирован. Пациент почувствовал облегчение после процедуры, что свидетельствует о важности тщательного и точного эндодонтического лечения в решении сложных случаев.

1. До
2. До
3. Во время
4. После

Реставрация

Случай 1

При осмотре на поверхности зуба было обнаружено лишь небольшое пятнышко пигмента, но при более внимательном осмотре внутри было обнаружено значительное количество кариозных поражений. Хотя кариес не был виден снаружи, он глубоко проник в структуру зуба. Поражённая кариесом часть была удалена, а структура и функция зуба восстановлены. Пломбирующий материал был тщательно подобран, чтобы соответствовать естественному цвету зуба и обеспечить эстетический результат. Данный случай демонстрирует важность тщательного обследования и своевременного лечения кариеса.

1. До
2. Во время
3. Во время
4. После
5. После
Случай 2

Пациент обратился со старыми амальгамными пломбами, которые имели признаки износа и изменения цвета. Несмотря на свою прочность, эти пломбы со временем могут разрушаться и приводить к потенциальным осложнениям, таким как кариес или растрескивание. Для решения этой проблемы старые амальгамные пломбы были аккуратно удалены, а зубы подготовлены под композитные пломбы. Новые пломбы не только восстановили внешний вид зубов, но и обеспечили большую долговечность. Во время повторного визита мы заменили пациенту другие старые пломбы для поддержания здоровья и эстетики полости рта. Этот случай демонстрирует важность регулярных стоматологических осмотров и своевременной замены старых пломб для поддержания здоровья и эстетики полости рта.

1. До
2. Во время
3. Во время
4. Во время
5. Во время
6. После

Виниры

Случай 1

Пациентка обратилась с проблемой потемнения двух передних зубов. После консультации мы решили установить два винира. В ходе процедуры зубы были подготовлены, а затем на них были установлены высокоэстетичные керамические виниры. Результат получился максимально естественным, и пациентка осталась довольна как никогда. Этот случай демонстрирует, как виниры могут значительно улучшить внешний вид пациентки и повысить её уверенность в себе.

1. До
2. Во время
После
После

Что говорят наши пациенты

4.4
(191)
  • Anastasiia Moskovaia

    8 months ago

    A wonderful clinic with true professionals! Many thanks to Dr. Daniil Gorokhov for saving my...

    Read more
  • Alexandra Ikkonen

    1 year ago

    Давно хожу в данную клинику. Все проблемы, возникающие в процессе лечения, обсуждаем подробно с доктором....

    Read more
  • Larisa L.

    8 months ago

    Пройдя лечение во многих стоматологических клиниках Праги,я наконец- то нашла профессионалов своего дела.Очень четко отработана...

    Read more
  • Andrew Loban

    8 months ago

    Хорошая клиника! За 3 года поставил 5 имплантов, 2 моста, сделали синус лифтинг, готовлюсь ставить...

    Read more
  • Евгения Казанцева

    8 months ago

    Прекрасно оказанная помощь! Очень внимательные врачи. Доктор Данил Горохов помог мне найти зуб, от которого...

    Read more
  • Елена

    1 year ago

    К доктору Никите Горохову попала по рекомендации с ударением зуба мудрости, 5 минут и всё...

    Read more
  • Nataliia Zhabska

    1 year ago

    По рекомендации обратилась к доктору Горохову Никите. Получила качественную консультацию и профессиональное лечение! Также порадовало...

    Read more
  • Kharashun Nastassia

    1 year ago

    Самая любимая клиника! Все безумно милые особенно Горохов Никита и Лера. А также девочка которая...

    Read more
  • Shark Shark

    1 year ago

    Ходил на процедуру по гигиене полости рта (чистку зубов) и должен признать, что получил действительно...

    Read more
  • Anastasiia Moskovaia

    1 year ago

    Замечательная клиника с профессионалами своего дела! Большое спасибо врачу Даниилу Горохову за спасение моего зуба,...

    Read more
  • Elena Untonida

    1 year ago

    К доктору Никите Горохову попала по рекомендации с ударением зуба мудрости, 5 минут и всё...

    Read more
  • Мария Курганова

    1 month ago

    Сегодня была на приеме у доктора Данила Горохова. Очень понравился подход, особенно удобен личный кабинет...

    Read more
  • Yevgeniya Kazantseva

    1 year ago

    Прекрасно оказанная помощь! Очень внимательные врачи. Доктор Данил Горохов помог мне найти зуб, от которого...

    Read more