Реставрация
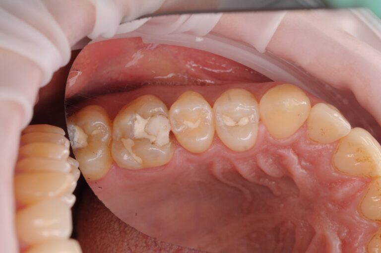
Первый снимок: старая большая пломба, под которой уже развился кариес.
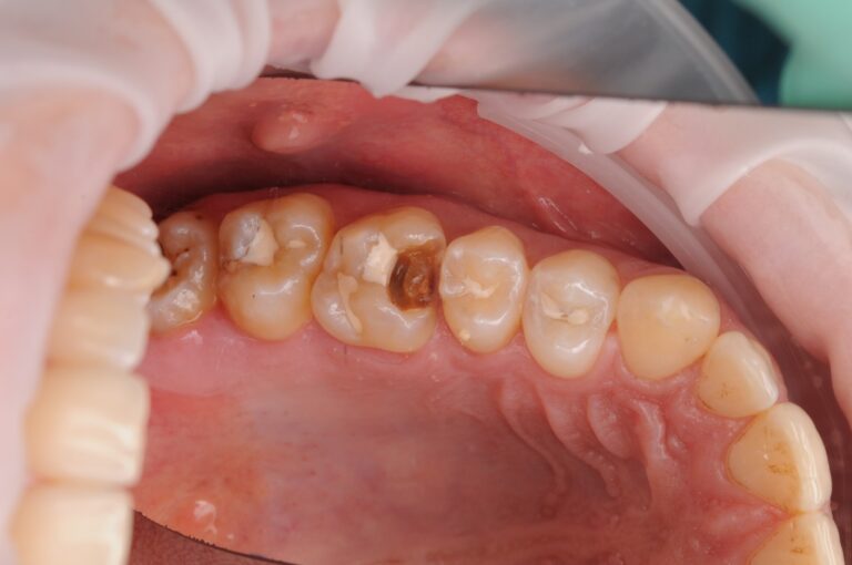
Второе фото: снимаем пломбу — и видим реальность
Под пломбой — глубокий, обширный кариес,
который не был заметен снаружи.
Это важный момент:
Если пломба не вызывает боли — это не значит, что всё в порядке.
Кариес под пломбой может развиваться тихо, долго —
пока не станет поздно.
Третье фото: изоляция и чистота — залог результата
Мы изолировали зуб с помощью коффердама
и работали в максимально стерильных условиях.
Точность, сухое поле, видимость всех деталей —
всё это важно, чтобы:
• удалить весь кариес
• не повредить здоровые ткани
• добиться идеального прилегания пломбы
Финальный результат: пломбу не отличить от зуба
Пломба повторяет форму, цвет и блеск натурального зуба.
Пациент был настолько удивлён, что сказал:
“Хочу заменить ВСЕ старые пломбы — чтобы было также красиво и надёжно.”
Фотогалерея



