Filling
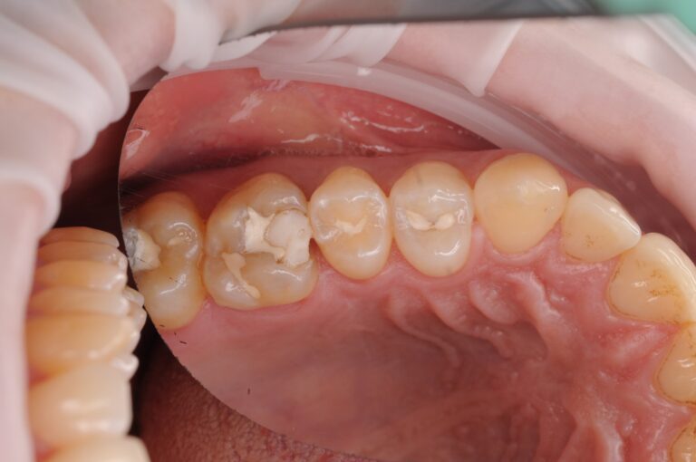
First image: a large old filling with decay already developing underneath.
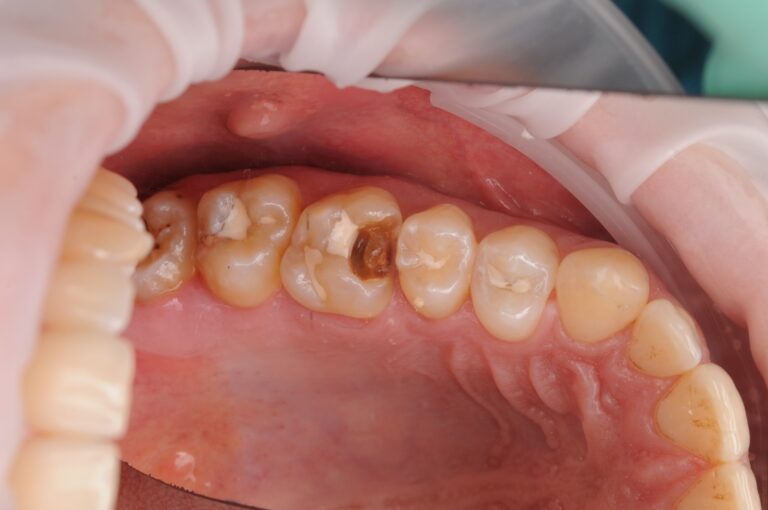
Second image: we remove the filling — and see the reality.
Under the filling — deep, extensive decay
that was not visible from the outside.
This is an important point:
If a filling doesn’t hurt, it doesn’t mean everything is fine.
Decay under a filling can develop quietly and slowly —
until it’s too late.
Third image: isolation and cleanliness are the key to a successful result.
We isolated the tooth using a rubber dam
and worked under максимально sterile conditions.
Precision, a dry working field, full visibility of every detail —
all of this is essential to:
• remove all decay
• preserve healthy tooth structure
• achieve perfect adaptation of the filling
Final result: the filling is indistinguishable from the natural tooth.
It replicates the shape, color, and shine of the original tooth.
The patient was so impressed that they said:
“I want to replace ALL my old fillings — so they look just as beautiful and reliable.”
Photo Gallery



