Zubní výplň
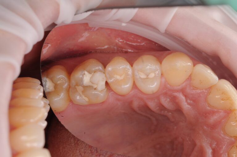
První snímek: stará rozsáhlá výplň, pod kterou se již rozvinul kaz.
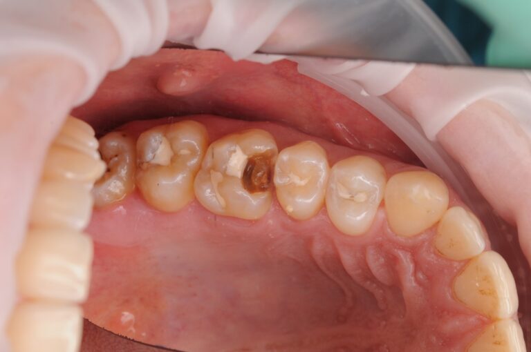
Druhá fotografie: odstraňujeme výplň – a vidíme realitu.
Pod výplní je hluboký, rozsáhlý kaz,
který nebyl zvenku viditelný.
To je důležitý moment:
Pokud výplň nebolí, neznamená to, že je vše v pořádku.
Kaz pod výplní se může vyvíjet tiše a dlouho –
dokud není pozdě.
Třetí fotografie: izolace a čistota jsou základem výsledku.
Zub jsme izolovali pomocí kofferdamu
a pracovali v maximálně sterilních podmínkách.
Přesnost, suché pracovní pole, dokonalá viditelnost detailů –
to vše je důležité, abychom:
• odstranili veškerý kaz
• nepoškodili zdravé tkáně
• dosáhli perfektního přilnutí výplně
Finální výsledek: výplň nerozeznatelná od zubu.
Výplň kopíruje tvar, barvu i lesk přirozeného zubu.
Pacient byl natolik překvapený, že řekl:
„Chci vyměnit VŠECHNY staré výplně – aby byly stejně krásné a spolehlivé.“
Fotogalerie



